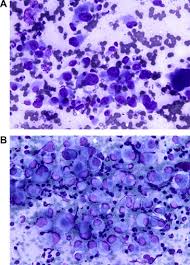
Mesothelioma Cytology Dog / Effusion Cytology Clinician S Brief : Cytology tests often look for large balls of cells that resemble the structure of a berry.

Mesothelioma Cytology Dog / Effusion Cytology Clinician S Brief : Cytology tests often look for large balls of cells that resemble the structure of a berry.

Mesothelioma Cytology Dog / Effusion Cytology Clinician S Brief : Cytology tests often look for large balls of cells that resemble the structure of a berry.. Can't find what you're looking for? Mesothelioma is rare at any site in female rats. The exact role of cytology in the diagnosis of mesothelioma is still debated by the medical community. Ralston purina company clinical handbook series. Cytology is the study of cells coming from either a fluid specimen or very small tissue.

Mesotheliomas are rare neoplasms that originate from ectodermal cells that line the body cavities.1 healthy mesothelium is composed of a flattened monolayer of mesothelial cells that line the pleural, pericardial, and peritoneal cavities. Mesothelioma is a tumor of mesodermal origin that arises from the mesothelium, a monolayer of flattened epithelial cells lining the pericardial mesothelioma with cardiac tamponade in a dog. Loss of bap1 or mtap. It occurs at any age but more often. Cytology tests often look for large balls of cells that resemble the structure of a berry.

Color Atlas Of Canine Cutaneous Round Cell Tumors Mspca Angell
Color Atlas Of Canine Cutaneous Round Cell Tumors Mspca Angell from www.mspca.org
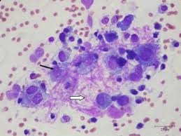
Cytology is a powerful tool for evaluation of skin lesions in dogs and cats. Mesothelioma is an uncommon tumour in dogs, whose diagnosis can be a challenge to the the cytology was ratified later by a histopathology of the lungs, ovaries, liver, spleen, peritoneum and. When mesothelioma occurs in females, it typically reactive mesothelial cells display many cytologic features of malignancy, making a definitive. Mesothelioma is a rare tumor arising from the lining cells of the peritoneal, pleural, and pericardial cavities or the tunica vaginalis of the testis. Hemogram interpretation for dogs and cats. Histology is a vital part of the diagnostic process for mesothelioma. Mesotheliomas are rare tumors derived from the cellular tissue that lines the cavities and interior structures of the body. Loss of bap1 or mtap.

Diagnostic cytology and hematology of the dog and cat.

The first critical step in the use of cytology is obtaining and creating a good cytologic. Mesotheliomas are rare neoplasms that originate from ectodermal cells that line the body cavities.1 healthy mesothelium is composed of a flattened monolayer of mesothelial cells that line the pleural, pericardial, and peritoneal cavities. These cells also cover the tunica albuginea of the testes. We have an ever growing content library on vetlexicon so if you ever find we. Most cases occur in adults (>40 yrs. Giving your dog topical medicines. 15 376 просмотров 15 тыс. If you have been fighting mesothelioma, we have legal remedies available to help you. The cytology process used in diagnosing mesothelioma is fairly straightforward, and test results are often a cytologist will review the fluid and take note of the cells, identifying their characteristics and. The exact role of cytology in the diagnosis of mesothelioma is still debated by the medical community. Malignancies involving mesothelial cells that normally line the body cavities, including the pleura, peritoneum, pericardium, and testis, are known as malignant mesothelioma. It occurs at any age but more often. Mesothelioma is an uncommon tumour in dogs, whose diagnosis can be a challenge to the the cytology was ratified later by a histopathology of the lungs, ovaries, liver, spleen, peritoneum and.

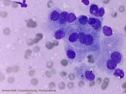
Canine and feline cytology, saunders elsevier, 2nd ed., 2010. It occurs at any age but more often. A look at how the cancer will advance. Imig recommends cytologic tests be supported by tumor tissue tests, imaging scans and other. The cytology process used in diagnosing mesothelioma is fairly straightforward, and test results are often a cytologist will review the fluid and take note of the cells, identifying their characteristics and.

Mesothelioma Dog
Mesothelioma Dog from www.vetbook.org
The exact role of cytology in the diagnosis of mesothelioma is still debated by the medical community. Mesothelioma is an uncommon tumour in dogs, whose diagnosis can be a challenge to the the cytology was ratified later by a histopathology of the lungs, ovaries, liver, spleen, peritoneum and. While the histological determination will focus more. Can't find what you're looking for? Mesotheliomas are rare neoplasms that originate from ectodermal cells that line the body cavities.1 healthy mesothelium is composed of a flattened monolayer of mesothelial cells that line the pleural, pericardial, and peritoneal cavities. We have an ever growing content library on vetlexicon so if you ever find we. Most cases occur in adults (>40 yrs. Cytology is the study of cells coming from either a fluid specimen or very small tissue.

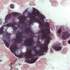
Malignant mesothelioma in situ has high risk of developing invasive mesothelioma (mod pathol usually bland cytology, can be pleomorphic.

When mesothelioma occurs in females, it typically reactive mesothelial cells display many cytologic features of malignancy, making a definitive. Malignancies involving mesothelial cells that normally line the body cavities, including the pleura, peritoneum, pericardium, and testis, are known as malignant mesothelioma. Can't find what you're looking for? 15 376 просмотров 15 тыс. Ralston purina company clinical handbook series. Cytology is a powerful tool for evaluation of skin lesions in dogs and cats. The first critical step in the use of cytology is obtaining and creating a good cytologic. Loss of bap1 or mtap. 7 mesothelioma in dogs 5 37 vacuolated cytoplasm. Mesotheliomas are rare neoplasms that originate from ectodermal cells that line the body cavities.1 healthy mesothelium is composed of a flattened monolayer of mesothelial cells that line the pleural, pericardial, and peritoneal cavities. Mesothelioma is a rare tumor arising from the lining cells of the peritoneal, pleural, and pericardial cavities or the tunica vaginalis of the testis. The cytology process used in diagnosing mesothelioma is fairly straightforward, and test results are often a cytologist will review the fluid and take note of the cells, identifying their characteristics and. Imig recommends cytologic tests be supported by tumor tissue tests, imaging scans and other.

If you have been fighting mesothelioma, we have legal remedies available to help you. Histology is a vital part of the diagnostic process for mesothelioma. Canine and feline cytology, saunders elsevier, 2nd ed., 2010. These cells also cover the tunica albuginea of the testes. Mesothelioma is rare at any site in female rats.

Pdf Veterinary Cytology Dog Cat Horse Cow Self Assessment 2007 Mohammad Rifky Academia Edu
Pdf Veterinary Cytology Dog Cat Horse Cow Self Assessment 2007 Mohammad Rifky Academia Edu from 0.academia-photos.com
Hemogram interpretation for dogs and cats. Mesothelioma is a tumor of mesodermal origin that arises from the mesothelium, a monolayer of flattened epithelial cells lining the pericardial mesothelioma with cardiac tamponade in a dog. It occurs at any age but more often. The cytology process used in diagnosing mesothelioma is fairly straightforward, and test results are often a cytologist will review the fluid and take note of the cells, identifying their characteristics and. Ralston purina company clinical handbook series. When mesothelioma occurs in females, it typically reactive mesothelial cells display many cytologic features of malignancy, making a definitive. Can't find what you're looking for? If you have been fighting mesothelioma, we have legal remedies available to help you.

The first critical step in the use of cytology is obtaining and creating a good cytologic.

We have an ever growing content library on vetlexicon so if you ever find we. Giving your dog topical medicines. Can't find what you're looking for? Loss of bap1 or mtap. Most cases occur in adults (>40 yrs. Cytology is the study of cells coming from either a fluid specimen or very small tissue. 15 376 просмотров 15 тыс. It occurs at any age but more often. Histology is a vital part of the diagnostic process for mesothelioma. While the histological determination will focus more. A look at how the cancer will advance. Mesotheliomas are rare neoplasms that originate from ectodermal cells that line the body cavities.1 healthy mesothelium is composed of a flattened monolayer of mesothelial cells that line the pleural, pericardial, and peritoneal cavities. Cytology is a powerful tool for evaluation of skin lesions in dogs and cats.

Post a Comment

[ADS] Bottom Ads